Management Digital. Logistica Optimizata
Plasati comanda protetica prin platforma online, iar noi garantam expedierea prompta a lucrarii acoperind eficient toate locatiile la nivel national.
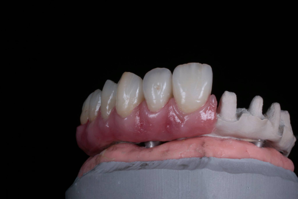
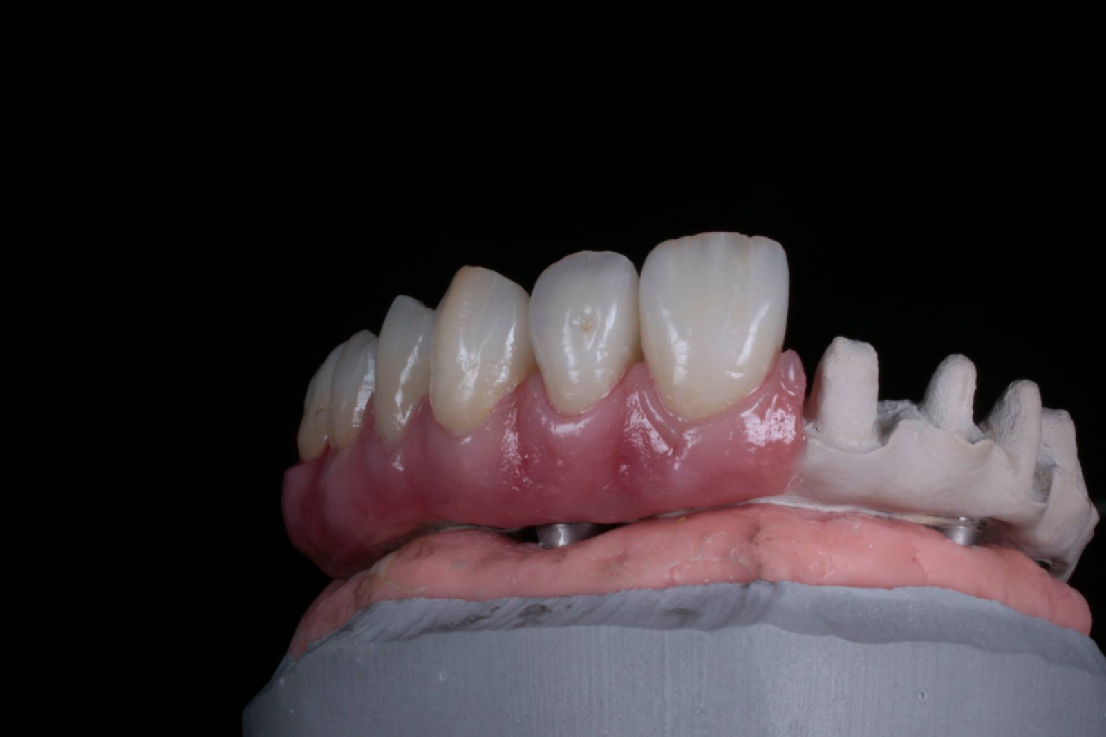
Structura All‑on‑4 PEEK + Compozit combina beneficiile PEEK‑ului biocompatibil si elastic cu avantajele restaurative ale compozitului dentar Blue Dent Evolux Hybrid NanoComposite, oferind o solutie echilibrata intre estetica naturala, rezistenta si adaptare clinica. Elementul dentar din compozit este realizat dintr‑o formula de nano‑compozit hibrid cu particule din zirconiu, asigurand restaurari cu un aspect natural si texturi apropiate de dintii reali.
Pentru lucrarile All-on-4 oferim optional scanarea gratuita cu scanner-ul extraoral PIC de fotogrametrie, ideal pentru cazurile pe implanturi. Tehnologia PIC inregistreaza pozitia implanturilor cu o precizie de pana la 4 microni, calculeaza distanta dintre implanturi si angulatia acestora cu o eficacitate de 99.9%, fiind validata de peste 49 de studii stiintifice si folosita in mai mult de 1.400.000 de cazuri clinice in 46 de tari. Aceasta asigura o adaptare pasiva excelenta a structurii finale, reduce ajustarile, scurteaza timpul clinic si creste predictibilitatea rezultatului. Un plus de precizie pentru lucrari stabile, estetice si pacienti multumiti, integrandu-se perfect in fluxul digital. Informatii scanner PIC ->
PICINFO
Datorita tehnologiei digitale CAD/CAM, structura este realizata cu precizie ridicata, oferind o adaptare excelenta pe implanturi si o predictibilitate crescuta a rezultatului final.
Compozitul este recunoscut pentru capacitatea de a imita culoarea si translucenta dintilor naturali, facilitand integrari estetice remarcabile. De asemenea, materialele compozite permit conservarea structurii dentare si un contact precis la nivelul suprafetelor protetice, oferind o suprafata neteda si rezistenta la uzura in timp.
Structura All‑on‑4 PEEK + Compozit este alegerea potrivita pentru medicii stomatologi care cauta o restaurare fixa echilibrata intre estetica si functionalitate, beneficiind de tehnologie digitala si materiale moderne pentru rezultate predictibile si satisfactie crescuta a pacientilor.
Simplu, rapid, digital:
Pas 1 - Amprentare fizica/digitala intra-orală în cabinet.
Pas 2- Upload pe 3dentasoft cu toate informațiile.
Pas 3 - Ne ocupam de lucrarea protetică si o livram la cabinetul tau.
De ce Laboratorul nostru reprezintă partenerul strategic ideal pentru protetica dentara?
Prin adoptarea unui flux de lucru protetic 100% digital, va asiguram o precizie clinica superioara si o optimizare semnificativa a timpului petrecut de pacient pe scaun, imbunatatind astfel experienta acestora si optimizand eficienta operationala a clinicii dumneavoastra. Pe langa aceste avantaje, va facilitam accesul la o platforma proprie de gestionare a cazurilor, care ofera o interfata intuitiva si o baza de date securizata pentru arhivarea datelor pacientilor si a lucrarilor.