Lucrare Dentara Peek + Zirconiu OneHT (All on 4)

Culoare:
Cod Produs: C12981 Ai nevoie de ajutor? 0736692898 / 0750475733
  • Descriere
  • Review-uri (0)
Management Digital. Logistica Optimizata
 Plasati comanda protetica prin platforma online, iar noi garantam expedierea prompta a lucrarii acoperind eficient toate locatiile la nivel national.

 
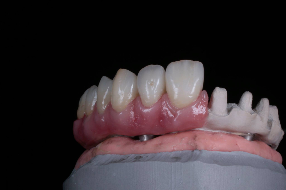
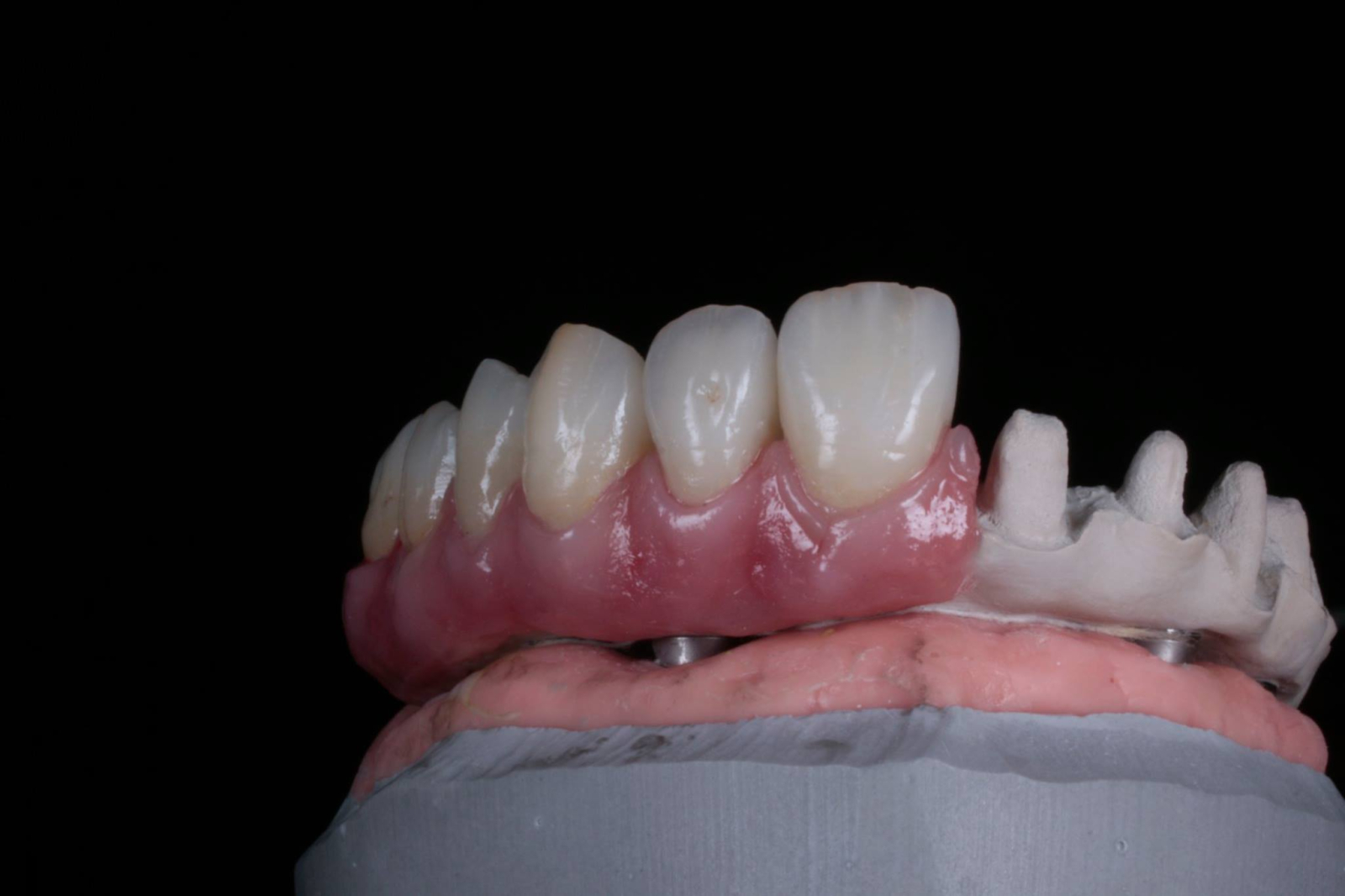
Structura All-on-4 din PEEK + Zirconiu OneHT este o solutie avansata pentru restaurarile fixe pe implanturi, conceputa pentru a oferi un echilibru ideal intre rezistenta, estetica si confort. Combinatia dintre PEEK si stratul din zirconiu OneHT asigura stabilitate mecanica excelenta si un aspect natural al restaurarii finale.

Pentru lucrarile All-on-4 oferim optional scanarea gratuita cu scanner-ul extraoral PIC de fotogrametrie, ideal pentru cazurile pe implanturi. Tehnologia PIC inregistreaza pozitia implanturilor cu o precizie de pana la 4 microni, calculeaza distanta dintre implanturi si angulatia acestora cu o eficacitate de 99.9%, fiind validata de peste 49 de studii stiintifice si folosita in mai mult de 1.400.000 de cazuri clinice in 46 de tari. Aceasta asigura o adaptare pasiva excelenta a structurii finale, reduce ajustarile, scurteaza timpul clinic si creste predictibilitatea rezultatului. Un plus de precizie pentru lucrari stabile, estetice si pacienti multumiti, integrandu-se perfect in fluxul digital. Informatii scanner PIC -> PICINFO
 
Datorita tehnologiei digitale CAD/CAM, structura este realizata cu precizie ridicata, oferind o adaptare excelenta pe implanturi si o predictibilitate crescuta a rezultatului final.

PEEK-ul ofera o structura usoara, elastica si biocompatibila, care ajuta la distribuirea optima a fortelor masticatorii si la reducerea stresului asupra implanturilor. Zirconiul OneHT adauga duritate, translucenta si stabilitate a culorii, garantand rezultate estetice superioare, cu aspect natural.

Simplu, rapid, digital:
Pas 1 - Amprentare fizica/digitala intra-orală în cabinet.
Pas 2- Upload pe 3dentasoft cu toate informațiile.
Pas 3 - Ne ocupam de lucrarea protetică si o livram la cabinetul tau.

De ce Laboratorul nostru reprezintă partenerul strategic ideal pentru protetica dentara?
Prin adoptarea unui flux de lucru protetic 100% digital, va asiguram o precizie clinica superioara si o optimizare semnificativa a timpului petrecut de pacient pe scaun, imbunatatind astfel experienta acestora si optimizand eficienta operationala a clinicii dumneavoastra. Pe langa aceste avantaje, va facilitam accesul la o platforma proprie de gestionare a cazurilor, care ofera o interfata intuitiva si o baza de date securizata pentru arhivarea datelor pacientilor si a lucrarilor.
Vezi mai mult Informatii conformitate produs
Daca doresti sa iti exprimi parerea despre acest produs poti adauga un review.

Review-ul a fost trimis cu succes.

Compara produse

Trebuie sa mai adaugi cel putin un produs pentru a compara produse.

A fost adaugat la favorite!

A fost sters din favorite!